Gum disease is one of the most common dental issues, affecting millions of people worldwide. Yet, many still wonder why their gums hurt or bleed. Understanding the underlying causes of gum disease is essential not only for relief but also for preventing more serious dental problems down the line. Let’s explore the top reasons your gums might be suffering and what steps you can take to protect them.
1. Poor Oral Hygiene
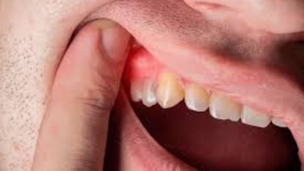
The most common cause of gum disease is inadequate oral hygiene. Skipping regular brushing and flossing allows plaque—a sticky film of bacteria—to build up along the gum line. Over time, this plaque hardens into tartar, which can irritate your gums and lead to inflammation. Gingivitis, the earliest stage of gum disease, often presents with red, swollen, or bleeding gums. If left untreated, it can progress to periodontitis, a more severe condition that can damage the bone supporting your teeth.
Maintaining a consistent oral care routine, including brushing twice daily, flossing, and using an antiseptic mouthwash, is key to preventing plaque buildup and keeping gums healthy.
2. Tobacco Use
Smoking and chewing tobacco are significant contributors to gum disease. Nicotine reduces blood flow to the gums, impairing their ability to heal and fight infection. Tobacco users are far more likely to develop severe gum disease than non-users. Even occasional smoking can increase the risk, making it important to understand the link between tobacco and oral health. Quitting tobacco can dramatically improve gum health and reduce the likelihood of gum disease progression.
3. Hormonal Changes
Hormonal fluctuations, particularly in women, can make gums more sensitive and susceptible to disease. Changes during pregnancy, menstruation, menopause, or puberty can increase gum inflammation and bleeding. Pregnant individuals may develop “pregnancy gingivitis,” which requires extra attention to oral care. Regular dental checkups during these periods are essential to catch early signs of gum disease before it worsens.
4. Certain Medical Conditions
Systemic conditions like diabetes, heart disease, and autoimmune disorders can affect gum health. Diabetes, for example, can reduce the body’s resistance to infection, making the gums more vulnerable. Additionally, conditions that weaken the immune system can exacerbate gum disease progression. Managing these health issues and communicating with your dentist about your medical history can help mitigate risks.
5. Medications
Some medications can contribute to gum disease by reducing saliva production, which normally helps protect the gums. Others may cause abnormal gum growth, making it harder to clean teeth effectively. Common culprits include certain blood pressure medications, antidepressants, and chemotherapy drugs. If your medication affects your oral health, your dentist can suggest strategies to minimize gum irritation and inflammation.
6. Poor Nutrition
A diet lacking in essential nutrients can compromise gum health. Vitamin C deficiency, for instance, can weaken gums and lead to bleeding and inflammation. Eating a balanced diet rich in fruits, vegetables, lean proteins, and whole grains supports overall oral health. Limiting sugary and processed foods also helps reduce the buildup of plaque that causes gum disease.
7. Genetics and Family History
Gum disease can run in families. If your parents had gum problems, you might be genetically predisposed to similar issues. While you can’t change your genetics, being aware of your risk allows you to take preventive measures, including routine dental visits and diligent oral hygiene practices.
8. Stress and Lifestyle Factors
High stress levels can indirectly impact gum health by reducing immune function and encouraging unhealthy habits like teeth grinding, smoking, or neglecting oral care. Maintaining stress management routines and healthy lifestyle choices plays an important role in protecting your gums.
When to Seek Professional Care
If your gums are persistently red, swollen, tender, or bleeding, it’s time to consult a dental professional. Early intervention can prevent long-term damage and tooth loss. In severe cases, procedures such as oral surgery in Salt Lake City may be necessary to restore gum and bone health. Regular dental visits, combined with proper home care, are the best defense against gum disease.
Conclusion
Gum disease can be painful, frustrating, and even dangerous if left untreated. By understanding the top causes—from poor oral hygiene and tobacco use to hormonal changes, medical conditions, medications, nutrition, genetics, and lifestyle factors—you can take proactive steps to protect your oral health. Consistent dental care, a balanced diet, and professional guidance are essential for healthy gums that support a healthy smile. Don’t ignore the warning signs; the earlier you act, the better the outcomes for your long-term oral wellness.
